Львівські хірурги врятували юнака, який роками дихав однією легенею і не здогадувався про це | Львівська мануфактура новин
Львівські хірурги врятували юнака, який роками дихав однією легенею і не здогадувався про це
10 Липня, 19:20

Львівські хірурги врятували юнака, який роками дихав однією легенею і не здогадувався про це

У Львові хірурги «ОХМАТДИТ» успішно прооперували 16-річного хлопця, що все життя дихав однією легенею. Як повідомили у Львівській ОВА, попри складний діагноз у хлопця не було жодних скарг на самопочуття.

У 2017 році, коли Олександру було 9 років, хлопця госпіталізували до «ОХМАТДИТу» із правобічним напруженим пневмотораксом. 

«Це коли “рветься” легеня і нагнітається повітря у плевральну порожнину, відтак легеня стискається. Тоді лікарі провели усі необхідні обстеження та виявили бульозну хворобу легень. Це захворювання, яке повʼязане з гіпоплазією легень при якому на поверхні є емфізиматозні були (пухирці) з і яких може надходити повітря у плевральну порожнину», – пояснюють медики. 

Лікарі зробили діагностичну торакоскопію – для уточнення діагнозу, оцінки структур, новоутворень у плевральному просторі, на плеврі та периферичних відділах легенів й відрізали частину ураженої булами легені.

Опісля хлопець себе почував добре, післяопераційний період був без ускладнень. Всі 7 років Олександр та його батьки не звертались до медиків, хлопця нічого не турбувало.

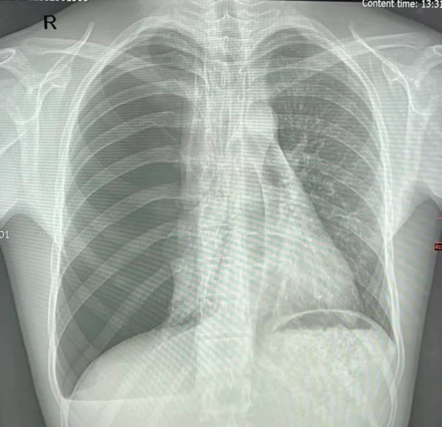
«Цього ж року, коли хлопець проходив плановий медогляд у Дрогобицькому ТЦК і його направили до «ОХМАТДИТу» для стаціонарного обстеження, оскільки побачили у Олександра шрам після операційного втручання. Під час діагностики наші лікарі виявили пневмоторакс. Давність захворювання невідома, адже скарг ніяких у хлопця не було роками. Фактично, Олександр дихав однією легенею невідому кількість часу»,- йдеться в повідомленні.

Відтак, хірурги одразу прооперували хлопця, відрізали частину ураженої легені. Усе пройшло успішно. Легеня розправилась, хлопець почувається добре та виписаний із лікарні. 

«Це загрозливий для життя стан. При такому діагнозі може бути летальний наслідок. При цьому хлопець не відчував жодних симптомів або не звертав увагу. Ми коли зробили знімок і побачили результат, то були шоковані», – наголосив торакальний хірург Центру Олександр Колодій. 

Гістологічне дослідження показало, що це вроджена лобарна емфізема, прояв гіпоплазії легені, коли частина органу недорозвинута. 

«Син почувався добре, не скаржився ні на що, аналізи були хороші. І вже під час обстеження дізнались, що у нього пневмоторакс. Сказати, що у нас був шок, це нічого не сказати. Центром і лікарями ми задоволені. Дуже всім вдячні», – розповіла мама Олександра Іванна. 

У подальшому хлопець буде під спостереженням медиків лікарні.