У Львові лікарям вдалося зберегти руку 37-річному мешканцю Львівщини, який випадково майже повністю відтяв собі ліве передпліччя бензопилою. Про це розповіли у Першому медоб’єднанні Львова.
Травма сталася під час заготівлі дров — інструмент вислизнув з рук чоловіка та перерізав передпліччя. Кінцівка трималася лише на клаптику шкіри. Дружина постраждалого оперативно наклала імпровізований джгут із тканини та викликала швидку допомогу. Пацієнта терміново госпіталізували та одразу доправили до операційної.
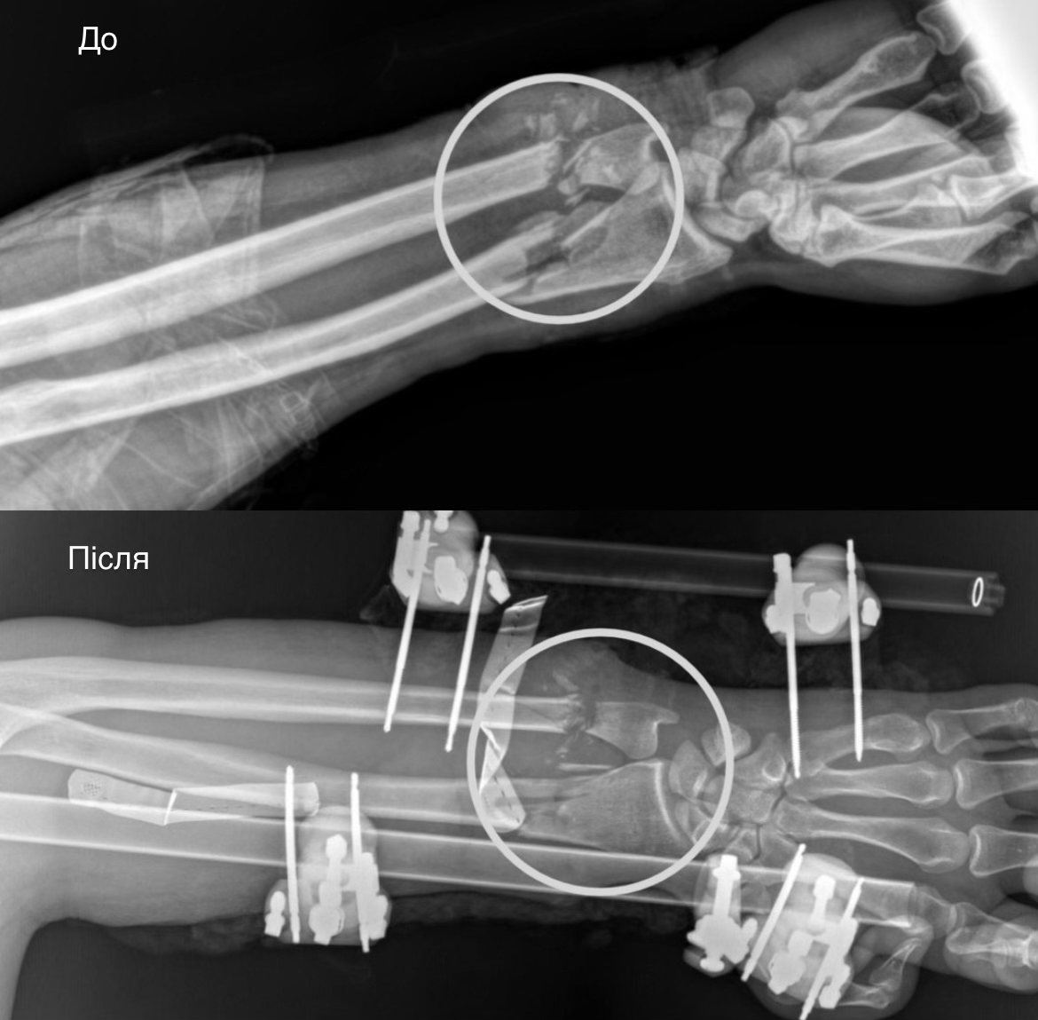
Медики констатували критичну травму: повністю пересічені артерії, переламані кістки, ушкоджені м’язи, сухожилля та нерви. За порятунок руки взялася мультидисциплінарна команда фахівців.
Спершу ортопеди-травматологи стабілізували переломи за допомогою апарата зовнішньої фіксації. Далі судинні хірурги відновили кровопостачання, зшивши ушкоджені судини — цей етап був вирішальним, адже без циркуляції крові тканини могли змертвіти, що призвело б до ампутації.
«Складність оперативного втручання полягала у відновленні всіх структур і, по суті, самої функції руки. Без відновлення кровопостачання вона була б нежиттєздатною. Лише злагоджена поетапна робота мультидисциплінарної команди дала шанс її зберегти», — зазначив завідувач відділення судинної хірургії Андрій Мелень.
