Львівські лікарі прооперували 66-річного чоловіка з раком молочної залози | Львівська мануфактура новин
Львівські лікарі прооперували 66-річного чоловіка з раком молочної залози
16 Вересня, 10:49

Львівські лікарі прооперували 66-річного чоловіка з раком молочної залози

У Львові спеціалісти Лікарні Святого Пантелеймона прооперували чоловіка, у якого виявили рак молочної залози. Про це повідомили у Першому медобʼєднанні Львова.


66-річний Орест Стахів і подумати не міг, що у чоловіків буває рак молочної залози. Коли півтора роки тому він вперше відчув дискомфорт в області лівої ареоли, то не надав цьому ваги. Думав, що просто натер в авті паском безпеки, бо поклав до нагрудної кишені гаманець. Цього літа дочка пана Ореста зауважила, що в тата ліва частина грудини багряного кольору, а біля соска з’явився якийсь наріст. Після цього родина одразу звернулася до спеціалістів Лікарні Святого Пантелеймона.

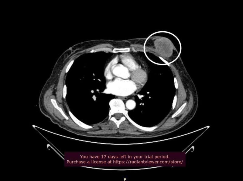
Діагноз, який виявили медики після проведення УЗД та КТ-обстеження, приголомшив пана Ореста! У нього виявили рак молочної залози. У чоловіків така недуга зустрічається в 100 разів рідше за жінок.

Ба більше – пухлина, яка сягала 8 сантиметрів, уже почала розпадатися. Часу на зволікання не було. Оперувати треба було якнайшвидше. Як саме – радилася мультидисциплінарна команда з мамологів, онко- та реконструктивних хірургів. Вирішили оперувати в два етапи. Спершу свою частину роботи мали виконати онкологи.

“Ми виконали мастектомію. Тобто видалення молочної залози разом із пухлиною та частиною грудного м’яза. Далі – провели лімфодисекцію. Це видалення пахвових лімфовузлів, адже саме через них поширюється хвороба. Це потрібно було обов’язково зробити, аби уникнути рецидиву”, – розповідає Ярослав Вовчанський, онкохірург Лікарні Святого Пантелеймона.

“Другий етап виконали реконструктивні хірурги. У нашій лікарні онкопластичний підхід до таких пацієнтів. Для нас важливо не просто забрати пухлину, а й зробити місце дефекту максимально естетичним. Тож ми виконали пластику. Зробили це ротаційним клаптем – закрили дефект за допомогою найширшого м’яза спини пацієнта”, – каже Гнат Герич, завідувач хірургічного відділення Лікарні Святого Пантелеймона.

Обидва втручання минули успішно. Вже на 10-ту добу пан Орест поїхав додому. Попереду в чоловіка ще тривале комплексне лікування.