Пухлина вагою понад 5 кг, яка проросла аж до серця: львівські хірурги врятували 49-річну жінку | Львівська мануфактура новин
Пухлина вагою понад 5 кг, яка проросла аж до серця: львівські хірурги врятували 49-річну жінку
02 Грудня, 12:41

Пухлина вагою понад 5 кг, яка проросла аж до серця: львівські хірурги врятували 49-річну жінку

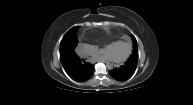
У Львові спеціалісти Лікарні Святого Пантелеймона врятували жінку з рідкісною пухлиною вагою понад 5 кг, яка проросла від черева і аж до серця та буквально “душила” пацінтку. Як розповіли у Першому медоб’єднанні Львова, з таким розташуванням пухлини вони мали справу вперше.

49-річна львів’янка Оксана захворіла ще у 2016 році. Тоді лікарі виявили в неї ліпосаркому – злоякісну пухлину, яка розвивається з жирових клітин та характеризується швидким ростом. Жінці двічі видаляли цей новоутвір. І, коли вона нарешті почала знову жити повноцінний життям, недуга повернулася.

“В мене з’явилась задишка і кашель. Пройшла обстеження та була в шоці! Адже, крім черевної порожнини як зазвичай, моя пухлина розташовувалась попереду серця та сильно його здавлювала. Це викликало задишку навіть при незначних рухах.  Я оббивала пороги лікарень в Україні та навіть за кордоном, але ніхто не наважувався мене оперувати”, — розповідає Оксана.

Наважились бодай спробувати допомогти жінці у рідному Львові. Для цього зібрали цілий консиліум з найкращих спеціалістів Лікарні Святого Пантелеймона. Мультидисциплінарна команда кілька разів збиралася, аби зважити всі “за” та “проти” операції. Ризики були високі, адже пухлина вже доросла до серця та проходила занадто близько до перикарду і великих судин. Їхнє пошкодження – це неминуча смерть пацієнтки просто на операційному столі. Утім, якщо не оперувати, жінка точно помре. Тож вирішили все ж спробувати її врятувати та розробили ретельний план складного втручання.

“Пацієнтка дуже важка. Крім 5-кілограмової пухлини в черевній порожнині і середостінні, в неї були і супутні захворювання, які відтерміновували операцію. Зокрема – це вірусне захворювання та анемія. Рівень гемоглобіну був лише 27, коли в нормі має бути 120-140. Тож спершу ми мали підготувати організм пацієнтки до того, аби вона змогла пережити цю операцію”, — пояснює Юрій Шаваров, провідний спеціаліст Центру хірургії Лікарні Святого Пантелеймона.

Оксану підлікували і призначили дату втручання. Спершу оперувати взялася досвідчена бригада кардіохірургів.

“Наше завдання було максимально швидко та обережно видалити пухлину із зони нашої відповідальності. На наш подив ми забрали частину новоутвору, вагою 2,5 кг, за 30 хвилин і без крововтрати. Для нас це був неабиякий успіх”, — розповів Роман Домашич, керівник Центру серця та судин Лікарні Святого Пантелеймона.

Далі команда хірургів виконала бокову лапаратомію та забрала з черевної порожнини другу частину пухлини – вагою ще понад два з половиною кілограми. В цій ділянці новоутвір вріс в шлунок, кишечник та діафрагму.

Надважке двоетапне втручання минуло успішно. Це перша така операція в Лікарні Святого Пантелеймона. До того хірурги багато разів видаляли ліпосаркоми, але зі звичного місця розташування – черевної порожнини. Ця ж пухлина була унікальною, бо проросла до серця. Пані Оксана почувається добре, тож її вже виписали додому.

Відео